Murakkab natijalar o'lchovlari periodontal regenerativ terapiyadan so'ng klinik natijalarni bashorat qilishga yordam beradi Periodontologiya jurnalida chop etilgan yangi tadqiqot.
Yaqinda periodontal regenerativ davolashning qisqa muddatli natijalarini tavsiflash uchun kompozit natijalar o'lchovi (COM) taklif qilindi. Ushbu retrospektiv tadqiqot 4 yillik qo'llab-quvvatlovchi periodontal yordam (SPC) davrida klinik bog'lanish darajasi (CAL) o'zgarishi bo'yicha COMning prognostik qiymatini baholashga qaratilgan.
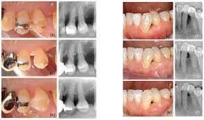
59 bemorda 74 ta intraosseous nuqsonlar regenerativ davolanishdan keyin 6 oy va 4 yil ichida baholandi. 6 oylik CAL o'zgarishi va tekshirish chuqurligi (PD) asosida nuqsonlar quyidagicha tasniflandi: COM1 (CAL daromadi ≥3 mm, PD ≤4 mm); COM2 (CAL daromadi <3 mm, PD ≤4 mm); COM3 (CAL daromadi ≥3 mm, PD>4 mm); yoki COM4 (CAL daromadi <3 mm, PD >4 mm). COM guruhlari 4 yil ichida "barqarorlik" (ya'ni, KAL ortishi, KALda o'zgarish yo'qligi yoki KAL yo'qolishi <1 mm) uchun taqqoslandi. Shuningdek, guruhlar PD va CAL ning o'rtacha o'zgarishi, jarrohlik davolashga bo'lgan ehtiyoj va tishlarning omon qolishi uchun taqqoslandi.
Natijalar
4 yil davomida COM1, COM2, COM3 va COM4 guruhlaridagi barqaror nuqsonlarning nisbati mos ravishda 69,2%, 75%, 50% va 28,6% ni tashkil etdi, bunda COM1, COM2 uchun barqarorlikni ko‘rsatish uchun nuqson ehtimoli ancha yuqori edi. , va COM3 COM4 bilan solishtirganda (mos ravishda 4,6, 9,1 va 2,4 nisbat). COM4 da jarrohlik qayta aralashuvlarning yuqori tarqalishi va tishlarning omon qolish darajasining pastligi kuzatilgan bo'lsa-da, COM guruhlari orasida sezilarli farqlar aniqlanmadi.
Kompozit natija o'lchovi (COM) periodontal regenerativ jarrohlikdan so'ng SPC o'tkazilayotgan joylarda CAL o'zgarishini bashorat qilishda muhim ahamiyatga ega bo'lishi mumkin. Biroq, mavjud topilmalarni asoslash uchun kattaroq kohortlar bo'yicha tadqiqotlar talab qilinadi.
Malumot:
Simonelli, A, Farina, R, Minenna, L, Tomasi, C, Trombelli, L. Periodontal regenerativ davolanishdan keyingi periodontal barqarorlik uchun kompozit natija o'lchovining prognostik qiymati: 4 yil ichida retrospektiv tahlil. J Periodontol. 2023; 1-10. https://doi.org/10.1002/JPER.22-0645













![Sog’liqni saqlashda ma’naviyat kuchini ochish [PODCAST]](/_next/image/?url=https%3A%2F%2Fbackend.kasallik.uz%2Fwp-content%2Fuploads%2F2023%2F05%2FUnveiling-the-power-of-spirituality-in-health-care.jpg&w=3840&q=75)
Javoblar (0 )